Atenção Primária de Camaragibe reforça denúncias contra a gestão municipal

A vice-presidente  do Simepe, Cláudia Beatriz e as diretoras Executivas, Lissandra  Moura e Maria de Fátima Vieira Campos, se reuniram nesta quarta-feira (28/03), com os médicos  da Atenção Primária da…

Continue lendoAtenção Primária de Camaragibe reforça denúncias contra a gestão municipal

Interstício, o ‘novo órgão’ do corpo humano que a ciência acaba de descobrir

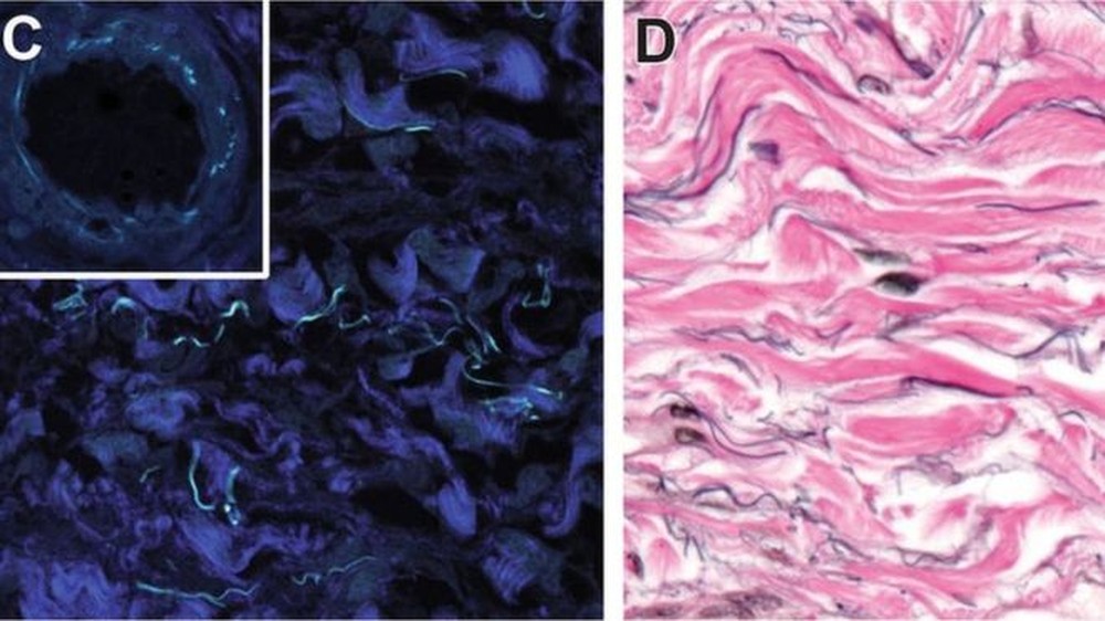
Um grupo de pesquisadores descobriu uma estrutura até então desconhecida da anatomia humana, que pode mudar a forma como entendemos o funcionamento dos órgãos, tecidos e doenças. Ele sempre esteve…

Continue lendoInterstício, o ‘novo órgão’ do corpo humano que a ciência acaba de descobrir

Lafepe produzirá medicamentos para hepatite e esclerose múltipla

O Laboratório Farmacêutico do Estado de Pernambuco Governador Miguel Arraes (Lafepe) – conquistou a aprovação de mais duas propostas de projetos executivos de Parcerias para o Desenvolvimento Produtivo (PDPs) com…

Continue lendoLafepe produzirá medicamentos para hepatite e esclerose múltipla