Sífilis pode trazer complicações se não for tratada
Em determinados casos podem surgir problemas graves de sífilis congênita, se a assistência durante o pré-natal não for adequada Uma pequena ferida que não dói, não coça, não arde e…
Em determinados casos podem surgir problemas graves de sífilis congênita, se a assistência durante o pré-natal não for adequada Uma pequena ferida que não dói, não coça, não arde e…
Pesagem, medição de altura, aferição da pressão arterial, teste de glicemia e orientações sobre a prevenção do câncer de mama foram os serviços oferecidos pelo Sindicato dos Médicos de Pernambuco…
Médicos plantonistas das emergências, urgências e maternidades da Prefeitura do Recife se reuniram na noite desta segunda-feira; 22.10 com o presidente do Simepe, Tadeu Calheiros, para discutir a falta de…
Um estudo inédito apresentado no 26º Congresso Europeu de Gastroenterologia, em Viena, revelou que estamos ingerindo regularmente pelo menos nove tipos diferentes de plástico, sem nem nos darmos conta do…
De acordo com a entidade, os planos atuais, ao permitirem o livre acesso a médicos especialistas, se tornaram caros, ineficientes e geradores de desperdícios A Federação Nacional de Saúde Suplementar…
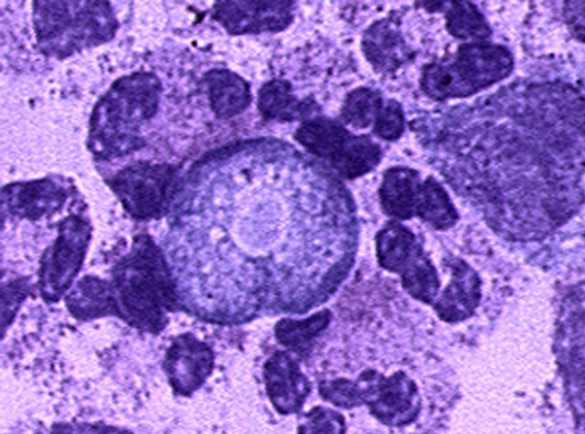
Meningoencefalite amebiana primária é letal em 97% dos casos; Espanha e Argentina tiveram registros neste ano. Casos recentes fizeram alguns países se depararem com uma infecção cerebral de nome difícil,…
O Brasil perdeu, nos últimos dez anos, seis leitos hospitalares por dia. São 23.088 vagas a menos, conforme estudo preparado pela Confederação Nacional dos Municípios e obtido pela reportagem. E…
A única ambulância do Serviço Móvel de Atendimento de Urgência (Samu) de Lajedo, no Agreste de Pernambuco, está quebrada há uma semana. A cidade também é responsável pelo atendimento a…
Em comemoração ao Dia do Médico, o Sindmepa recebeu ontem (18) a palestra “Em defesa do Médico”, ministrada pelos advogados Eduardo Sizo e Marcel Zeferino, que abordaram os aspectos jurídicos…
Em comemoração ao Dia do Médico, celebrado na última quinta-feira (18), o presidente do Sindicato dos Médicos do Ceará, Dr. Edmar Fernandes, escolheu o Interior do Estado para visitar e…
Homenagem do Sinmed Alagoano de Junqueiro, o Dr João Batista Neto concluiugraduação em medicina pela Universidade Federal de Alagoas, aos 25 anos de idade, em 1980. A Residência em Cirurgia…