EDIÇÃO 274 DO JORNAL MEDICINA ESTÁ DISPONÍVEL PARA LEITURA ONLINE

O Conselho Federal de Medicina (CFM) atualizou os critérios para definição de morte encefálica, garantindo maior segurança ao processo de diagnóstico. A Resolução nº 2.173/17 substitui a nº 1.480/97 e…

Continue lendoEDIÇÃO 274 DO JORNAL MEDICINA ESTÁ DISPONÍVEL PARA LEITURA ONLINE

Conheça os principais vilões da coluna e aprenda a prevenir dores nas costas

Realizar atividades rotineiras de maneira errada ou adotar postura incorreta repetidamente podem trazer sérios danos para a coluna. As pessoas que desenvolvem problemas e se queixam de dor costumam errar…

Continue lendoConheça os principais vilões da coluna e aprenda a prevenir dores nas costas

Os ratos são inocentes: pesquisa aponta que humanos espalharam a peste negra, epidemia mais mortal da história

Segundo estudo, piolhos do corpo humano, em vez de pulgas de ratos, propagaram praga que devastou a Europa no século 14. Os ratos não foram os culpados pela propagação da…

Continue lendoOs ratos são inocentes: pesquisa aponta que humanos espalharam a peste negra, epidemia mais mortal da história

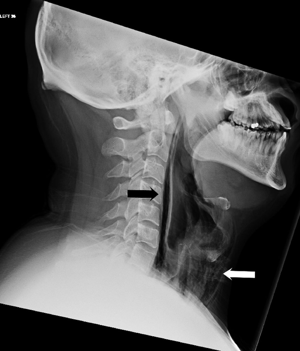
Em caso raro, homem rompe garganta e tem dificuldade para falar após segurar espirro

Situação publicada no 'BMJ Case Reports' mostra caso atípico de rompimento de parte de trás da garganta após um único espirro. Um jovem rompeu a parte de trás da garganta…

Continue lendoEm caso raro, homem rompe garganta e tem dificuldade para falar após segurar espirro

Serviços oferecidos pela Apami são restabelecidos em Petrolina, PE

Na última semana, os serviços foram suspensos por problemas financeiros ocasionados pelos atrasos nos repasses da Secretaria Estadual de Saúde. Na última semana, a Associação Petrolinense de Amparo à Maternidade…

Continue lendoServiços oferecidos pela Apami são restabelecidos em Petrolina, PE

PF cumpre 61 mandados em 18 estados e no DF contra fraude em importação de equipamentos médicos

Operação Zona Cinzenta é segunda fase da Operação Equipos, que busca identificar organização criminosa que usa a aduana de Dionísio Cerqueira para contrabando. A Polícia Federal realiza nesta terça-feira (16)…

Continue lendoPF cumpre 61 mandados em 18 estados e no DF contra fraude em importação de equipamentos médicos

Estudo em 5 cidades brasileiras aponta eficácia máxima em remédio contra o HIV

Estudo acompanhou 526 voluntários que passaram a utilizar o medicamento para prevenção Estudo inédito realizado em cinco cidades mostra que o uso de antirretrovirais para prevenir o HIV foi eficaz…

Continue lendoEstudo em 5 cidades brasileiras aponta eficácia máxima em remédio contra o HIV

Médicos do Recife deflagram greve e convocam prefeito para reunião

Paralisação começa quinta. Categoria reclama da falta de negociação sobre campanha salarial e problemas de infraestrutura Alegando esperar há mais de dois meses sem qualquer resposta da prefeitura sobre a…

Continue lendoMédicos do Recife deflagram greve e convocam prefeito para reunião