Exame de sangue detecta ressurgimento de câncer com 1 ano de antecedência

Médicos britânicos conseguiram identificar o retorno de um câncer um ano antes dos exames tradicionais, em uma descoberta animadora para o combate à doença. A equipe conseguiu rastrear no sangue…

Continue lendoExame de sangue detecta ressurgimento de câncer com 1 ano de antecedência

Norma do CFM determina responsabilidade de diretores técnicos e clínicos para garantir atendimento e condições de funcionamento de serviços médicos

O Conselho Federal de Medicina (CFM) definiu em resolução novos critérios para atuação de médicos que ocupem cargos de diretor técnico e clínico nos estabelecimentos de assistência médica em todo…

Continue lendoNorma do CFM determina responsabilidade de diretores técnicos e clínicos para garantir atendimento e condições de funcionamento de serviços médicos

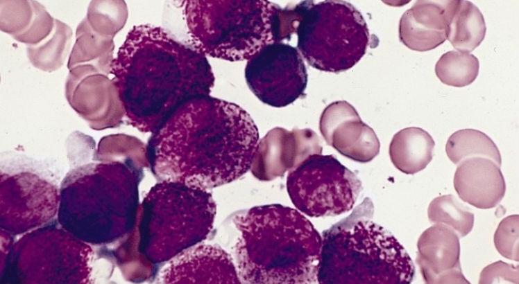
Célula tumoral é reprogramada para estimular sistema imune a combater o câncer

Reprogramar células tumorais para fazê-las produzir uma substância capaz de estimular o sistema imune a combater o câncer. Essa é a estratégia de um novo tratamento contra leucemia que começou…

Continue lendoCélula tumoral é reprogramada para estimular sistema imune a combater o câncer

Hospital da Mulher do Recife orienta usuárias na prevenção e combate à hipertensão

Para marcar o Dia Nacional de Prevenção e Combate à Hipertensão Arterial, o Hospital da Mulher do Recife (HMR), no Curado, Zona Oeste do Recife, realizará uma série de salas de espera (mini palestras…

Continue lendoHospital da Mulher do Recife orienta usuárias na prevenção e combate à hipertensão

Abril Lilás: período alerta para a prevenção e combate ao câncer de testículo

Outubro Rosa e Novembro Azul. Quando o assunto é relacionar cores a meses para conscientizar a população sobre determinadas doenças, essas duas referências provavelmente serão as mais lembradas. Mas poucas pessoas sabem…

Continue lendoAbril Lilás: período alerta para a prevenção e combate ao câncer de testículo